全口重建
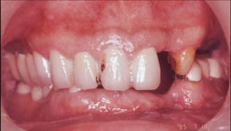
全口重建【1】
治療前
治療後
全口重建【2】
治療前
治療後
   
       
 
| 回 首 頁 | 醫療諮詢與教育中心 | 醫療保健 | 門診注意事項 | 諮詢留言 | 門診時間與地圖 | 奔騰牙醫40年 |
2004 © Copyright by Prospect Dental Health Community. Builder by 湯尼大夫牙醫網